A ortodontia é a área da odontologia que se dedica a conseguir espaço e posicionar os dentes nas arcadas. Ela busca alcançar o equilíbrio das estruturas da face e o encaixe correto dos dentes para encontrar a harmonia e a beleza do sorriso.
É necessário fazer uma avaliação clínica e radiográfica criteriosa da oclusão do paciente.
Ao ser acompanhada de perto, a criança e seus responsáveis recebem orientações sobre hábitos saudáveis, tornando o caminho na busca de um sorriso equilibrado, muito mais tranquilo.
A primeira consulta a um ortodontista infantil deve ocorrer por volta dos 5/6 anos de idade, período que antecede as trocas dentárias.
Se o odontopediatra que acompanha a criança achar necessário, essa consulta poderá ser realizada a partir dos 3 anos.



Nesse momento tão dinâmico da vida dos pequenos é importante acompanhar de perto as transformações, se certificando se estas mudanças estão acontecendo de forma correta.
Se algo estiver fora da normalidade, o problema poderá ser interceptado e corrigido prontamente, evitando longos tratamentos ortodônticos no futuro.
Outro ponto relevante é que tratar crianças é muito mais tranquilo do que tratar adolescentes, pois elas são mais cooperadoras e como ainda estão sob o cuidado dos responsáveis, é mais fácil garantir o seu comparecimento às consultas.
As chances de correção de uma má oclusão é infinitamente maior quando é possível contar com o crescimento e desenvolvimento da criança.
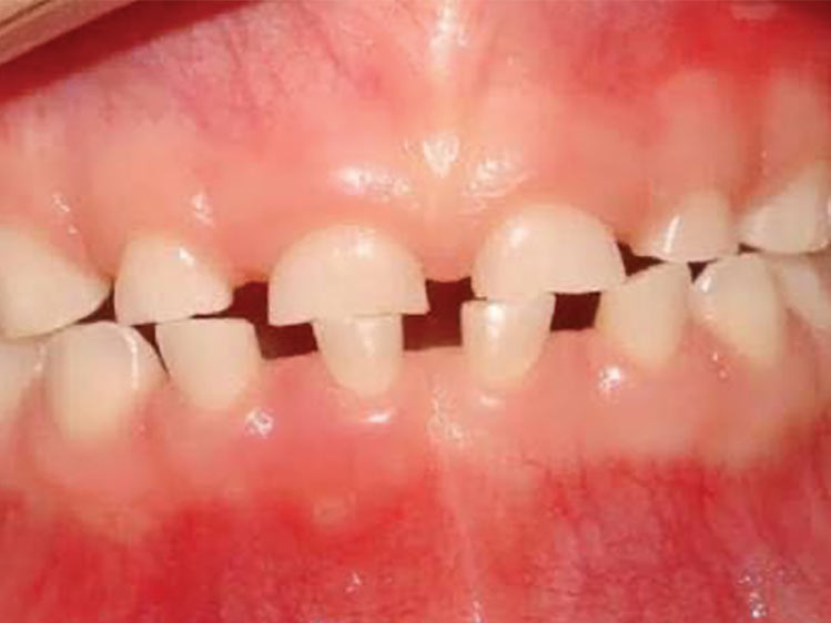
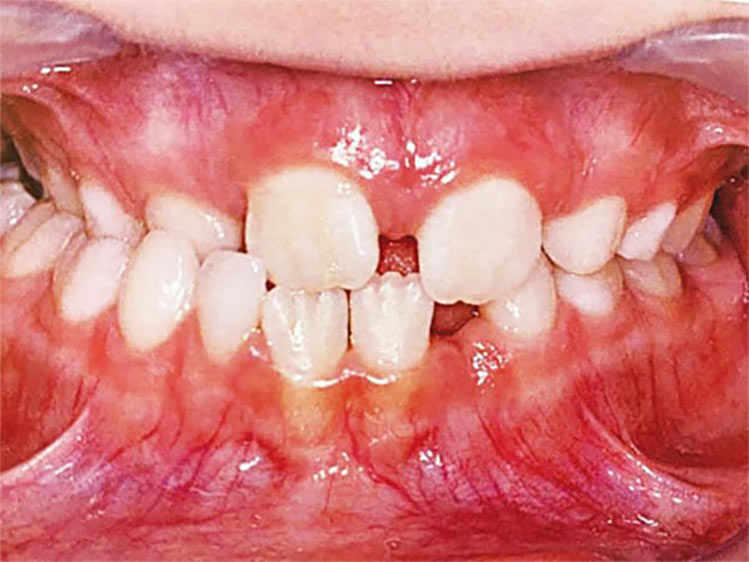
Porque dentes apinhados acumulam mais alimentos, mais placa bacteriana, mais tártaro, mais inflamação de gengiva, sangramento, mau hálito e aumentando o risco de surgimento de cáries.
Telefone: (11) 3864-1653
Whatsapp pessoal: (11) 98558-5081
E-mail: land.telma@gmail.com
Segunda à quinta-feira, das 8:30hs às 18:30hs
Rua Itapicuru, 369, cj. 503, Perdizes, São Paulo/SP, CEP 05006-000